UCSB Aquatic Invertebrate Lab

Algae Research

Brief Summary of the Project:

The purpose of this project is to look into the relationship between aquatic macroinvertebrates and algae. This project will focus on the role of dissolved oxygen and salinity in this relationship. It is important to know this relationship because it allows us to determine the health of an ecosystem. Aquatic macroinvertebrates are reliant on algae in that algae acts as a source of oxygen for the organisms in small water environments, such as those in the Devereux Slough. When more oxygen is in the ecosystem, the populations of macroinvertebrates are allowed to grow. Salinity also plays a role in this relationship because different macroinvertebrates and algae have different preferred salinity levels. In the Devereux Slough, water levels are fluctuating constantly throughout the year, so there are some times where a body of water has and some times where the same body has low salinity. This project aims to monitor the levels of macroinvertebrates and algae in the Slough, and identify how dissolved oxygen levels and salinity change as the density of organisms change.

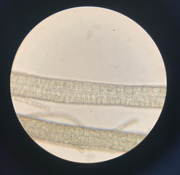
algae sample 1
Chaetonema algae at 400x magnification
lily fieldwork
Lily sampling at Phelps Bridge site
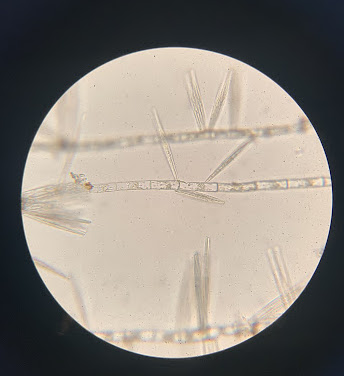
algae sample 2
Schizomeris algae under 400x magnification

Photos Courtesy of Lily Huynh

Future Plans for the Lab:

For this project, we plan to continue collecting data at the sampling sites to determine how the changes in salinity and dissolved oxygen at each site affect the macroinvertebrate densities. We also plan to start an experiment investigating the effects of salt shock on either algae production or on the invertebrates.

Plots/Diagrams:

diagram1
diagram2

People Involved:

Lily Huynh: Student Project Leader

Alison Rickard: Lab Director; CCBER Research and Monitoring Coordinator

Kylie Malone: Student Volunteer

Kristen Russell: Student Volunteer

About the Project Leader:

My name is Lily Huynh and I am a 4th year Biology major. I am interested in ecological restoration and climate change biology. I started off in the lab as one of the volunteers that sorted macroinvertebrate samples. After I decided that I enjoyed working in the lab and wanted to continue participating in the lab's activities, I became a student leader to work on a project for the lab. I decided to work on the project involving algae because I had taken a class where I worked on entering algae information into a database for CCBER's algal herbarium. During that course I learned a lot about algae and became interested in working with it in a project.